< >

STAT6抗体试剂

  • 价格:电议
  • 发布时间:2022-02-25 14:30:23
  • 联系我们:13524532503
  • 注册证号:粤中械备20200093号

STAT6抗体试剂

66

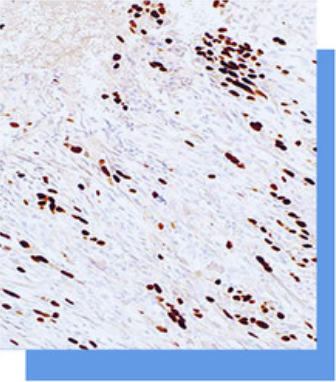
STAT6 (信号转导和转录激活因子6)属于

STAT蛋白家族,其应答细胞因子和生长因子受体

相关激酶磷酸化,并作为转录因子。在孤立性纤

维性肿瘤,NAB2和STAT6基因融合引起STAT6

在核内表达。STAT6是高度敏感和特异的免疫组

化标记物。

1



上海聚慕医疗器械有限公司
地址:上海闵行区联川路258号浦江智地精品商务园6B号楼3层301B
电话:13524532503 (沪)-非经营性-2022-0060

©上海聚慕医疗器械有限公司

[沪ICP备17007809号-8]

知识产权侵权投诉:不生产医疗产品所有产品均来自产品的生产厂商、代理商、经销商,如有侵权请联系客服