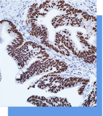
SATB2抗体试剂

SATB2是一种核基质相关的转录因子,作为染
色质重塑酶的分子对接点,利用辅助激活因子和辅
助抑制因子来控制核基因的表达。STAB2还调节
骨骼发育、成骨细胞的分化、调节免疫球蛋白的表
达。在正常组织中, 包括阑尾、结肠和直肠在内
的下肠粘膜基本上所有腺细胞中都可观察到STAB2
的强烈表达。STAB2也在神经内分泌细胞中表达。
在肿瘤组织中,STAB2可在结直肠癌起源的癌细胞
(包括神经内分泌肿瘤)中检测到。STAB2对结直肠
癌的敏感性为85%,联合CK20染色可进-步提高
到93%,

上海聚慕医疗器械有限公司
地址:上海闵行区联川路258号浦江智地精品商务园6B号楼3层301B
电话:13524532503 (沪)-非经营性-2022-0060
