< >

IgG抗体试剂

  • 价格:电议
  • 发布时间:2022-02-22 15:34:46
  • 联系我们:13524532503
  • 注册证号:粤中械备20200077号

IgG抗体试剂

55

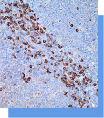
对淋巴瘤、浆细胞瘤和B细胞来源的何杰金氏淋

巴瘤的鉴别诊断有一定的辅助意义, 也可以用于

对肾小球肾炎进行功能性的分类。

1



上海聚慕医疗器械有限公司
地址:上海闵行区联川路258号浦江智地精品商务园6B号楼3层301B
电话:13524532503 (沪)-非经营性-2022-0060

©上海聚慕医疗器械有限公司

[沪ICP备17007809号-8]

知识产权侵权投诉:不生产医疗产品所有产品均来自产品的生产厂商、代理商、经销商,如有侵权请联系客服