< >

乙型肝炎表面抗原(HBsAg)抗体试剂

  • 价格:电议
  • 发布时间:2022-02-22 11:13:49
  • 联系我们:13524532503
  • 注册证号:粤中械备20180202号

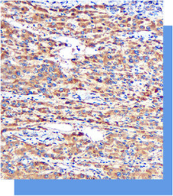
乙型肝炎表面抗原(HBsAg)抗体试剂

88

HBsAg是乙型肝炎病毒的表面抗原。主要

用于肝炎的诊断,尤其在肝穿刺活检的乙型肝

炎病毒的检测。可用于肝硬化、肝细胞肝癌的

病因研究。

1


上海聚慕医疗器械有限公司
地址:上海闵行区联川路258号浦江智地精品商务园6B号楼3层301B
电话:13524532503 (沪)-非经营性-2022-0060

©上海聚慕医疗器械有限公司

[沪ICP备17007809号-8]

知识产权侵权投诉:不生产医疗产品所有产品均来自产品的生产厂商、代理商、经销商,如有侵权请联系客服