< >

细胞角蛋白8抗体试剂

  • 价格:电议
  • 发布时间:2022-02-21 15:09:17
  • 联系我们:13524532503
  • 注册证号:湘长械备20210661号

细胞角蛋白8抗体试剂

55

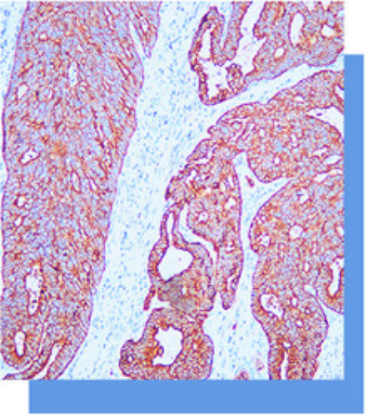
细胞角蛋白8(CK8)属低分子量B型细胞角蛋

白,常与细胞角蛋白18结合在一起。主要标记非

鳞状上皮,因此主要用于腺癌和导管癌的诊断,

鳞癌- -般不表达CK8。有报道称肝细胞癌主要表

达CK8和CK18。

1



上海聚慕医疗器械有限公司
地址:上海闵行区联川路258号浦江智地精品商务园6B号楼3层301B
电话:13524532503 (沪)-非经营性-2022-0060

©上海聚慕医疗器械有限公司

[沪ICP备17007809号-8]

知识产权侵权投诉:不生产医疗产品所有产品均来自产品的生产厂商、代理商、经销商,如有侵权请联系客服