< >

Insulin抗体试剂

  • 价格:电议
  • 发布时间:2022-02-17 16:39:13
  • 联系我们:13524532503
  • 注册证号:湘长械备20210566号

Insulin抗体试剂

88

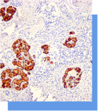
Insulin是由胰鸟β细胞分泌的一种激素,可以降

低血糖浓度。其主要应用于胰鸟细胞瘤的功能性

分类和多发性内分泌肿瘤的诊断。

1



上海聚慕医疗器械有限公司
地址:上海闵行区联川路258号浦江智地精品商务园6B号楼3层301B
电话:13524532503 (沪)-非经营性-2022-0060

©上海聚慕医疗器械有限公司

[沪ICP备17007809号-8]

知识产权侵权投诉:不生产医疗产品所有产品均来自产品的生产厂商、代理商、经销商,如有侵权请联系客服