< >

c-MYC抗体试剂

  • 价格:电议
  • 发布时间:2022-02-17 16:04:40
  • 联系我们:13524532503
  • 注册证号:湘长械备20210097号

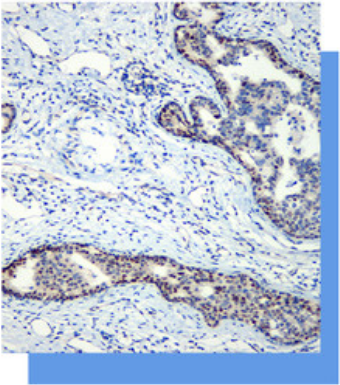
c-MYC抗体试剂

44

c-myc基因是一种原癌基因, 在多种类型的细胞

中均有表达,增殖活跃的细胞和各种肿瘤细胞往往过

表达,异常的c-myc基因有多种表达形式,包括变异

插入活化、转位和扩增等,与细胞周期密切相关。

1


上海聚慕医疗器械有限公司
地址:上海闵行区联川路258号浦江智地精品商务园6B号楼3层301B
电话:13524532503 (沪)-非经营性-2022-0060

©上海聚慕医疗器械有限公司

[沪ICP备17007809号-8]

知识产权侵权投诉:不生产医疗产品所有产品均来自产品的生产厂商、代理商、经销商,如有侵权请联系客服