Human Chorionic Gonadotropin抗体试剂
Human Chorionic Gonadotropin抗体试剂

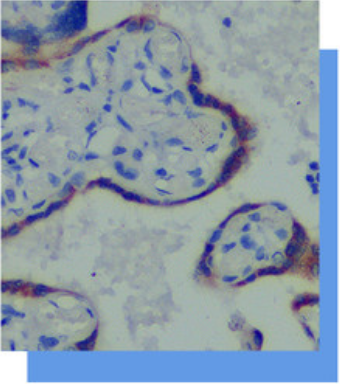
HCG是胎盘滋养细胞分泌的一种糖蛋白,
妊娠的绒毛滋养细胞染色阳性。 其主要应用于
绒毛膜上皮癌、葡萄胎(弱阳性)及恶性葡萄
胎(强阳性)的诊断;在生殖细胞肿瘤的胚胎
性癌、精原细胞瘤等可染色阳性。 在滋养细胞
肿瘤中其染色程度强及粗颗粒状,而其它上皮
性肿瘤中染色程度浅,细颗粒且均匀。

上海聚慕医疗器械有限公司
地址:上海闵行区联川路258号浦江智地精品商务园6B号楼3层301B
电话:13524532503 (沪)-非经营性-2022-0060
