< >

细胞角蛋白14抗体试剂

  • 价格:电议
  • 发布时间:2022-02-17 14:09:39
  • 联系我们:13524532503
  • 注册证号:湘长械备20210622号

细胞角蛋白14抗体试剂

4

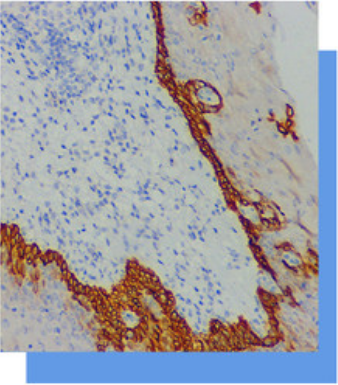
CK14是一种分子量为50kD的细胞角蛋白。在

肌上皮以及基底细胞CK14+。其主要应用于

鳞状细胞癌(尤其是低分化) (92%+) 与

腺癌(7%+)的鉴别诊断。在甲状旁腺中,嗜酸

性腺瘤阳性率为92%,嗜酸性癌为阴性表达。

1



上海聚慕医疗器械有限公司
地址:上海闵行区联川路258号浦江智地精品商务园6B号楼3层301B
电话:13524532503 (沪)-非经营性-2022-0060

©上海聚慕医疗器械有限公司

[沪ICP备17007809号-8]

知识产权侵权投诉:不生产医疗产品所有产品均来自产品的生产厂商、代理商、经销商,如有侵权请联系客服