< >

Actin抗体试剂

  • 价格:电议
  • 发布时间:2022-02-16 16:13:18
  • 联系我们:13524532503
  • 注册证号:湘长械备20210283号

Actin抗体试剂

55

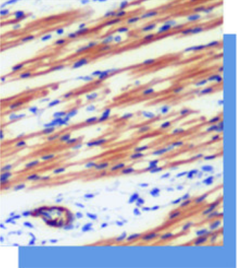
肌动蛋白是- -种具有收缩能力的微丝蛋白,是细

胞骨架的组成部分,广泛分布于几乎所有的肌型

细胞中。Actin (SC28) 是一种广谱的肌动蛋白

,主要用于检测骨骼肌、平滑肌、血管平滑肌、

心肌和肌源性肿瘤包括平滑肌瘤、平滑肌肉瘤和

横纹肌肉瘤以及肌上皮瘤等。

1



上海聚慕医疗器械有限公司
地址:上海闵行区联川路258号浦江智地精品商务园6B号楼3层301B
电话:13524532503 (沪)-非经营性-2022-0060

©上海聚慕医疗器械有限公司

[沪ICP备17007809号-8]

知识产权侵权投诉:不生产医疗产品所有产品均来自产品的生产厂商、代理商、经销商,如有侵权请联系客服