< >

CD45R抗体试剂

  • 价格:电议
  • 发布时间:2022-02-16 14:28:50
  • 联系我们:13524532503
  • 注册证号:苏泰械备20210290号

CD45R抗体试剂

33

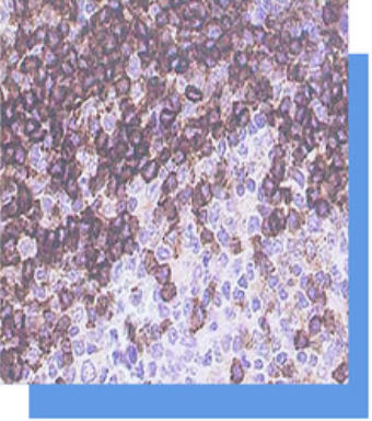
CD45R是CD45的异构体,家族由限制性形式的

白细胞抗原组成,分成4个异构体: CD45RA.

CD45RB、CD45RC和CD45RO。 CD45RA主要

表达在B淋巴细胞,部分胸腺髓质细胞。此抗体

可以识别大多数的B细胞及B细胞淋巴瘤。常与其

他B细胞标记物CD20和CD45RB联合检测,主要

用于B细胞淋巴瘤的辅助诊断。

1



上海聚慕医疗器械有限公司
地址:上海闵行区联川路258号浦江智地精品商务园6B号楼3层301B
电话:13524532503 (沪)-非经营性-2022-0060

©上海聚慕医疗器械有限公司

[沪ICP备17007809号-8]

知识产权侵权投诉:不生产医疗产品所有产品均来自产品的生产厂商、代理商、经销商,如有侵权请联系客服