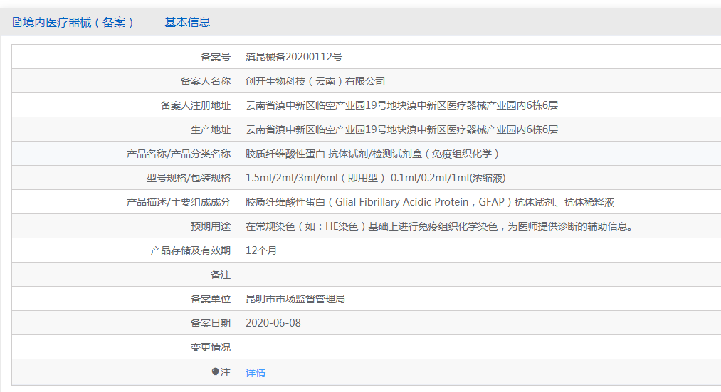
胶质纤维酸性蛋白(Glial Fibrillary Acidic Protein,GFAP)抗体试剂
胶质纤维酸性蛋白(Glial Fibrillary Acidic Protein,GFAP)抗体试剂

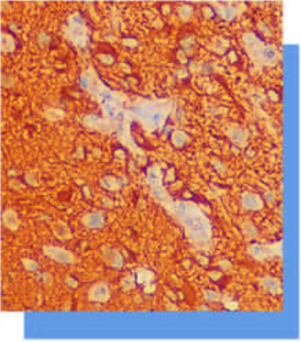
GFAP为中间丝蛋白之一, 在脑组织的星形胶
质细胞中阳性,主要应用在星形细胞胶质瘤、混
合性胶质瘤以及胶质肉瘤的诊断及鉴别诊断中,
脑膜瘤染色阴性。室管膜瘤GFAP+,尤其在粘液
乳头型室管膜瘤的诊断方面; 也应用于脉络丛乳
头状肿瘤的诊断及鉴别诊断。其在乳腺及涎腺的
肌.上皮细胞阳性表达,可用于肌上皮细胞及肿瘤
的检测。

上海聚慕医疗器械有限公司
地址:上海闵行区联川路258号浦江智地精品商务园6B号楼3层301B
电话:13524532503 (沪)-非经营性-2022-0060
