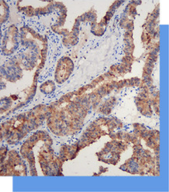
Galectin-3抗体试剂

Galectin-3是一个同型细胞粘附凝集素,它
是由β-半乳糖苷键结合蛋白和一个层粘连蛋
白构成的嵌合体结构。细胞表面的Galec-
tin-3主要作用和同类细胞间的粘附有关,它可以
下调某些盲肠癌和乳腺癌相关蛋白的表达,促进
这些肿瘤的转移。研究资料可以Cytokeratin19
联合使用于甲状腺乳头状腺癌的诊断,是间变性
大细胞淋巴瘤很有效的标记,还可以作为肿瘤恶
化程度的一一个参考指标。

上海聚慕医疗器械有限公司
地址:上海闵行区联川路258号浦江智地精品商务园6B号楼3层301B
电话:13524532503 (沪)-非经营性-2022-0060
