< >

Villin(微管素)抗体试剂

  • 价格:电议
  • 发布时间:2022-02-16 11:44:18
  • 联系我们:13524532503
  • 注册证号:湘长械备20210238号

Villin(微管素)抗体试剂

66

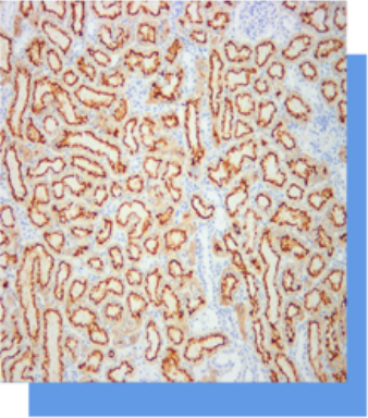
Villin是一种分子量为95kDa的细胞骨架蛋白,正常分布

于肠.上皮和肾近曲小管上皮,可用于肠上皮来源肿瘤与

非肠上皮肿瘤的肿瘤的鉴别判断,亦可作为胃肠道神经

内分泌肿瘤诊断的参考指标。

1



上海聚慕医疗器械有限公司
地址:上海闵行区联川路258号浦江智地精品商务园6B号楼3层301B
电话:13524532503 (沪)-非经营性-2022-0060

©上海聚慕医疗器械有限公司

[沪ICP备17007809号-8]

知识产权侵权投诉:不生产医疗产品所有产品均来自产品的生产厂商、代理商、经销商,如有侵权请联系客服