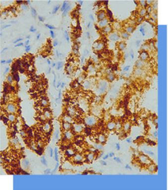
AMACR/p504s抗体试剂

AMACR又称p504s。P504S是- 种a甲酰基辅酶
A消旋酶,存在于正常组织中的胰腺、肝、肾小
管上皮和涎腺中,在尿道旁腺为均一的中等水平
表达。其主要表达于前列腺腺癌以及前列腺癌前
病变,在正常前列腺组织中只有极少为阳性表达
。最近研究表明P504S在结/直肠癌、胃癌、卵巢
癌、乳腺癌、肺癌、肾癌、肝细胞肝癌、淋巴瘤
和恶性黑色素瘤等肿瘤中也有阳性表达。女性生
殖系统来源的透明细胞癌通常阳性,而卵黄囊瘤
通常阴性。可以用于二者鉴别诊断。

上海聚慕医疗器械有限公司
地址:上海闵行区联川路258号浦江智地精品商务园6B号楼3层301B
电话:13524532503 (沪)-非经营性-2022-0060
