< >

CD7抗体试剂

  • 价格:电议
  • 发布时间:2022-02-15 16:44:29
  • 联系我们:13524532503
  • 注册证号:湘长械备20210632号

CD7抗体试剂

33

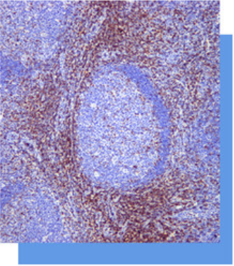
CD7是分子量为40kD的膜结合糖蛋白,是最早

期的T淋巴细胞特异性表达抗原,也是在T细胞分

化全部过程中存在的唯一早期标记物。 全分化阶

段的T淋巴细胞、-些NK细胞CD7+. CD7主要

应用于T淋巴细胞淋巴瘤的诊断中,包括部分似

乎缺失T淋巴细胞标记的淋巴瘤,尤其

T-ALL/T-LBL的诊断有特定的诊断价值。在一些

急性髓内白血病也呈阳性表达。

1



上海聚慕医疗器械有限公司
地址:上海闵行区联川路258号浦江智地精品商务园6B号楼3层301B
电话:13524532503 (沪)-非经营性-2022-0060

©上海聚慕医疗器械有限公司

[沪ICP备17007809号-8]

知识产权侵权投诉:不生产医疗产品所有产品均来自产品的生产厂商、代理商、经销商,如有侵权请联系客服