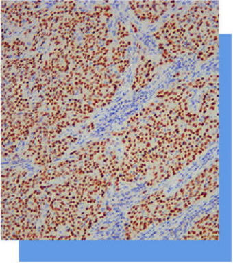
p63抗体试剂

由于p63基因与抑癌基因的p53基因在DNA结合域有高度同源性,现认为是p53基因家族的同源性基因。在乳腺、涎腺及前列腺等肌上皮细胞和基底细胞以及皮肤基底细胞中p63+,在腺上皮细胞p63-.可以联合其它特异性抗体判断肿瘤的良恶性。其主要应用于鳞状细胞癌(如基底细胞样鳞癌、梭形细胞癌)、基底细胞乳头状瘤
的诊断。p63可用于 良恶性肌上皮细胞肿瘤与腺癌的诊断与鉴别诊断中,在肌上皮细胞肿瘤阳性表达,而腺癌基本阴性表达。

上海聚慕医疗器械有限公司
地址:上海闵行区联川路258号浦江智地精品商务园6B号楼3层301B
电话:13524532503 (沪)-非经营性-2022-0060
