bcl-6抗体试剂

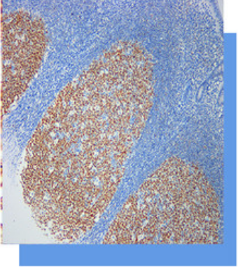
BcI-6是一种编码为Kruppe|型锌指95kD原癌基因蛋白并与其他转录因子享有同源性,具有诱导k细胞凋亡的功能。在淋巴瘤中,下列情况显示bcl-6免疫组化阳性反应:滤泡性淋巴瘤、20~40%的弥漫大B细胞性淋巴瘤、Burkitt' s淋巴瘤45%的CD30 +的间变性大细胞淋巴瘤、淋巴细胞优势型霍杰金淋巴瘤中的L&H细胞、滤泡中心母细胞性淋巴瘤、极少数的T细胞淋巴瘤。
Bcl-6还被用于恶性淋巴瘤凋亡的研究。

上海聚慕医疗器械有限公司
地址:上海闵行区联川路258号浦江智地精品商务园6B号楼3层301B
电话:13524532503 (沪)-非经营性-2022-0060
