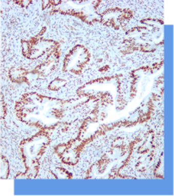
MSH6抗体试剂

DNA错配修复系统(DNA mismatch
repair
system,MMR)是指由特异修复DNA碱基错配
的酶分子组成。这套系统的存在,可保证遗传物
质的完整性和稳定性,避免遗传物质的突变产
生,保证DNA复制的高保真度。MSH6与
MLH1、MSH2、 PMS2联用,可用于患者及其
家族对该疾病的筛查。文献报道高频度微卫星不
稳定(MSI- H)的结、直肠癌患者比低频度微卫
星不稳定性(MSI-L) 及微卫星稳定(MSS)的
患者的预后好。

上海聚慕医疗器械有限公司
地址:上海闵行区联川路258号浦江智地精品商务园6B号楼3层301B
电话:13524532503 (沪)-非经营性-2022-0060
