< >

Ki-67抗体试剂

  • 价格:电议
  • 发布时间:2022-02-15 14:21:18
  • 联系我们:13524532503
  • 注册证号:鄂汉械备20211008号

Ki-67抗体试剂

66

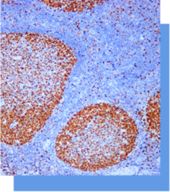
Ki-67抗原是人的一种核蛋白,为细胞增值的标

记,主要标记可有细胞增殖状态的情况,标记在

细胞周期G1、S、M和G2期, 但G0期不表达,

有助于鉴别细胞的分裂和凋亡。有助于鉴别滤泡

性淋巴瘤和反应性滤泡增生。在Burkitt淋巴瘤中

80%以上肿瘤细胞Ki- 67 (+),与bcl-2 (- )

联合使用有助于Burkit淋巴瘤的诊断及鉴

别诊断

1


上海聚慕医疗器械有限公司
地址:上海闵行区联川路258号浦江智地精品商务园6B号楼3层301B
电话:13524532503 (沪)-非经营性-2022-0060

©上海聚慕医疗器械有限公司

[沪ICP备17007809号-8]

知识产权侵权投诉:不生产医疗产品所有产品均来自产品的生产厂商、代理商、经销商,如有侵权请联系客服