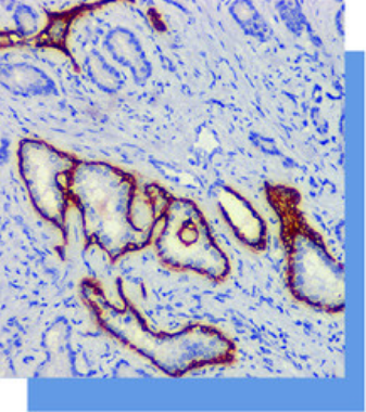
细胞角蛋白CK34BetaE(高分子量)抗体试剂

CK34BE12是一组分子量为68kD(CK1)、
58kD(CK5)、56.5kD(CK10)及 50kD(CK14)的高分
子量细胞角蛋白。在正常的鳞状上皮细胞、导管上皮
和其他复层上皮、基底细胞及肌上皮细胞中阳性表达
。主要阳性表达于:鳞状细胞癌(基底细胞癌)、 乳
腺、胰腺、胆管和涎腺的导管癌、膀胱移行细胞癌、
鼻咽癌、胸腺瘤、上皮样间皮瘤、脊索瘤、酒精性肝
病的Mallory小体等。主要阴性表达于:肝细胞癌、
肾细胞癌、子宫内膜癌、肺的神经内分泌肿瘤等。在
前列腺疾病的诊断中,34BE12是标记前列腺基底细
胞比较特异的抗体,与P63、 P504S联合应用于前列
腺良恶性肿瘤的鉴别诊断。

上海聚慕医疗器械有限公司
地址:上海闵行区联川路258号浦江智地精品商务园6B号楼3层301B
电话:13524532503 (沪)-非经营性-2022-0060
