< >

CD31抗体试剂

  • 价格:电议
  • 发布时间:2022-02-15 11:17:09
  • 联系我们:13524532503
  • 注册证号:鄂孝械备20200068号

细胞角蛋白(广谱)抗体试剂(免疫组织化学)

11

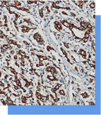
CK Pan在正常的各种.上皮细胞中染色阳性。其主

要应用于.上皮源性肿瘤的诊断以及鉴别诊断,是常用

免疫表达广谱的一种抗体。另外在类癌、小细胞癌、

移行细胞癌、混合癌、室管膜癌、胸腺癌、脊索癌、

间皮瘤生殖细胞肿瘤中CK Pan呈阳性。

1


上海聚慕医疗器械有限公司
地址:上海闵行区联川路258号浦江智地精品商务园6B号楼3层301B
电话:13524532503 (沪)-非经营性-2022-0060

©上海聚慕医疗器械有限公司

[沪ICP备17007809号-8]

知识产权侵权投诉:不生产医疗产品所有产品均来自产品的生产厂商、代理商、经销商,如有侵权请联系客服